Результаты металлографических исследований биметаллических плит
Ниже представлены результаты металлографических исследований с оценкой микроструктуры наплавленного слоя с различным содержанием Cr и С:

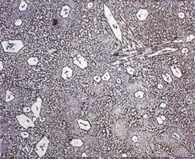
Образец № 1 – Содержание хрома – 16,70%, углерода – 2,88%
- C2.88%
- Cr16,70%
- Mn2,03%
- B0,5%
Сплав не содержит видимых карбидов хрома, большая часть содержания хрома видна в матрице в виде белых пятен.
Твердость по методу Роквелла 51,37 HRC

Образец № 2 – Содержание хрома – 26,40%, углерода – 3,88%
- C3,88%
- Cr26,40%
- Mn2,55%
- B0,5%
Увеличение хрома и углерода приводит к образованию первичных карбидов хрома, которые можно увидеть в виде светлых шестиугольных форм.
Твердость по методу Роквелла 55,8 HRC

Образец № 3 – Содержание хрома – 29,20%, углерода – 4,33%
- C4,33%
- Cr29,20%
- Mn3,22%
- B0,5%
Увеличение хрома и углерода приводит к образованию первичных карбидов хрома, которые можно увидеть в виде светлых шестиугольных форм. Твердость по методу Роквелла 57,6 HRC

Образец № 4 – Содержание хрома – 32,60%, углерода – 4,84%
- C4,84%
- Cr32,60%
- Mn3,34%
- B0,5%
Увеличение хрома и углерода приводит к образованию первичных карбидов хрома, которые можно увидеть в виде светлых шестиугольных форм. Твердость по методу Роквелла 57,8 HRC
Металлографические исследования с оценкой микроструктуры наплавленного слоя 4 различных образцов с различным содержанием хрома и углерода показали следующий результат:
- Значительное влияние на уровень износостойкости материалов оказывают морфология карбидных включений, их кристаллическое строение, размеры, количественное соотношение, особенности распределения в матрице, несмотря на высокий уровень твердости.
- Оценка эксплуатационных характеристик только по критерию твердости по методу Роквелла, без учета структуры не даст объективной оценки износостойкости наплавленного слоя.
- Эффект упрочнения в максимальной степени отразился при увеличении содержания хрома до показателя минимум 30% и углерода более 4%. Данный состав имеет максимальную износостойкость.
Таким образом при содержании хрома более 30% и углерода более 4% наплавленный слой обладает наилучшими эксплуатационными характеристиками при воздействии на материал абразивных частиц.
Износостойкие биметаллические плиты Weartech имеют содержание хрома 32-37% и углерода 4,5-5% с равномерно распределенными и строго ориентированными высокопрочными карбидами в пластичной аустенитной матрице, что позволяет добиться высочайшей износостойкости защищаемой поверхности.
Наша цель — создавать лучшие решения по защите от износа.